レーザー治療
当院では痛みや不快感のない治療を目指し最先端の機器や技術を導入しております。
レーザー治療をすることにより以下の効果が期待できます。
- 消炎効果
- 鎮痛・除痛効果
- 殺菌・消毒効果
- 組織の活性化作用
- 止血効果
- 組織蒸散
これらの効果により以下の治療にレーザーを使用しています。
- ムシ歯の治療・予防(歯の表面を強化)
- 口内炎・義歯の接着痛(痛みが和らぎます)
- 根管治療(歯の根っこ・神経の治療)
- 知覚過敏(冷たいモノがしみる方)
- 歯周病(歯槽膿漏)の治療
- 止血(歯を抜いた後の血を止めます)

ホワイトニングで美しい白い歯

当院ではホームホワイトニングを推奨しております。専用のトレーを作成し、ご自宅で施工して頂く方法です。院内のホワイトニングも予約制でやっておりますが、少しづつご自宅で施工する方が歯へのダメージが少ないです。
また、当院で使用しているホワイトニング材は国産メーカーのもので、一人一人に購入し、使用するので割高ですが、その時に一番良いと思う材料を使用しております。ホワイトニングの実施人数は少ないですが、一度やられた方は定期的に続けて頂き、満足されていると感じております。
ホワイトニングの症例
症例01
ビフォー

アフター

症例02

この方は毎年、ホワイトニングをして数年、現在もご覧のような綺麗な歯をしております。
ホワイトニングの料金表
| 1回目 | 29,800円 |
|---|---|
| 2回目以降 | 9,800円 |
*同時に歯肉の色を改善するメラニン色素除去を行うこともできます。費用は9,800円です。
より多くの方がご自身の歯に関心を持ち、自信を持って頂けるよう、市価の半額程度で提供するようにしております。
小児の歯列矯正

小児の矯正を始めた理由
虫歯で通院しているお子様を診ていると、ちょっとした歯並びの改善が必要なケースに出くわします。
そのたびに矯正医を紹介すると患者さんの負担が大きくなったり、結局面倒で行かなかったりとするケースを多く見ることがあり、何とか私で出来ることは無いかと勉強し、実際に下記のような症例に対応しております。
料金体系はケースにもよりますが、1.5万円~2万円程度に設定し、矯正医よりははるかに安い値段設定をしております。また、矯正専門医では無いので、あくまでも成功報酬としております。もし数か月治療してみて改善が見られない場合は費用は頂きません。ちょっとした歯並びの気になる点を相談に来て頂いてはいかがでしょうか。
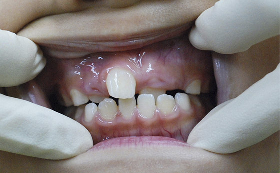
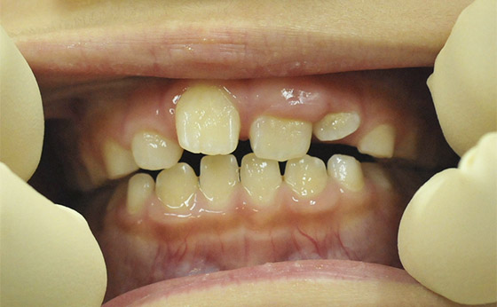
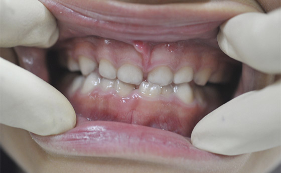
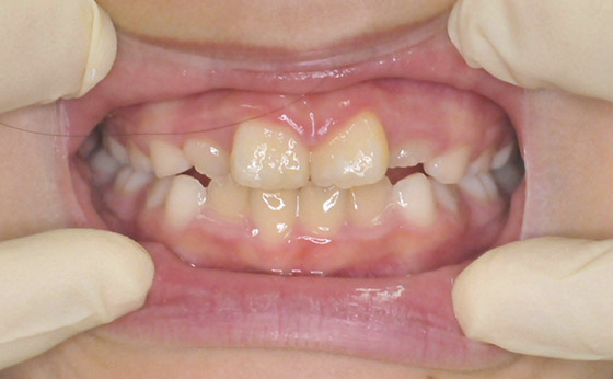
症例01 - 小児歯列矯正
ビフォー

1本だけ前歯が裏側に
アフター

この場合はマウスピースを作成して3か月。
とりあえずは前に出てきました。この後はしばらくは経過観察です。費用は成功報酬12,000円頂きました。
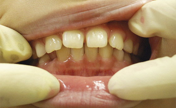
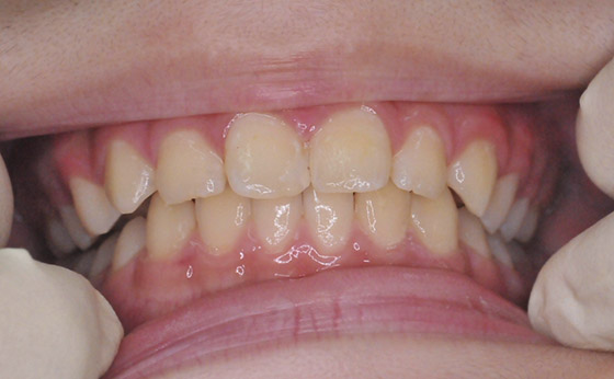
症例02 - 簡単な正中離開
ビフォー

治療前
アフター

半年でここまで改善しました。成功報酬で12,000円頂きました。
症例03 - ムーシールドによる歯列矯正

途中経過01
5歳の女の子、来院時、ご覧のような反対咬合。
下の歯が上の歯に逆に被さっています。ムーシールドという矯正装置を夜寝るときだけ装着しました。

途中経過02
4か月でここまで改善しましたが、左の前歯だけが反対に噛んでます。

途中経過03
それから半年で永久歯に生え変わりましたが、前歯が開いてしまいました。

途中経過04
その後は簡単な矯正装置で修正、半年でここまで改善いたしました。






